
Ngày 8.4, Khoa Ngoại thần kinh Bệnh viện Nhi đồng 1 cho biết đã tiếp nhận và điều trị thành công cho bệnh nhi T.G.K (7 tháng tuổi, Đồng Tháp) được chẩn đoán u não thất III.
Theo bệnh sử, khi trẻ được 3 tháng tuổi, gia đình nhận thấy đầu trẻ to dần sau sinh, thường xuyên nôn ói sau bú, mắt nhìn xuống nên đưa đi khám. Bác sĩ ghi nhận trẻ có tình trạng tăng áp lực nội sọ như vòng đầu lớn, thóp phồng căng, hạn chế nhìn lên. Siêu âm qua thóp ghi nhận khối u vùng não thất III chèn ép gây giãn não thất nặng.
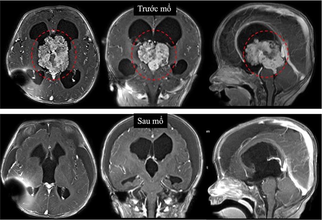
Kết quả chụp cộng hưởng từ sọ não cho thấy khối u tại não thất III gây chèn ép dẫn đến não úng thủy tắc nghẽn. Đây là vị trí sâu, xung quanh có nhiều cấu trúc thần kinh quan trọng nên việc can thiệp phẫu thuật rất phức tạp. Kết quả giải phẫu bệnh xác định đây là u đám rối mạch mạc không điển hình độ 2, một dạng u hiếm của hệ thần kinh trung ương.
Do lo ngại nguy cơ cao khi phẫu thuật trên bệnh nhi còn quá nhỏ, gia đình và bác sĩ thống nhất đặt dẫn lưu não thất màng bụng để giảm áp lực nội sọ tạm thời vào ngày 25.11.2025 và chờ thời điểm phù hợp để mổ lấy u.
Tuy nhiên, sau 3 tháng, phim cộng hưởng từ cho thấy khối u phát triển nhanh, kích thước tăng hơn gấp 3 lần. Trước tình hình này, các bác sĩ đã tư vấn phẫu thuật sớm để kịp thời cứu trẻ.
Ngày 25.3.2026, ca mổ được tiến hành. Nhờ sự chuẩn bị kỹ lưỡng và phối hợp chặt chẽ giữa các chuyên khoa, ca phẫu thuật diễn ra an toàn, thuận lợi. Sau 6 giờ, ê-kíp đã bóc tách thành công khối u.
TS.BS Trần Minh Huy - Khoa Ngoại Thần kinh, Bệnh viện Nhi đồng 1 - cho biết, đây là ca mổ khó do khối u nằm ở vị trí sâu, trung tâm não, xung quanh là nhiều cấu trúc thần kinh và mạch máu quan trọng. Khối u có kích thước lớn khoảng 6 cm, tăng sinh mạch nuôi, phát triển trong lòng não thất III, gây nhiều thách thức cho phẫu thuật viên. Bên cạnh đó, thời gian mổ kéo dài và nguy cơ mất máu cao ở bệnh nhi 7 tháng tuổi đòi hỏi trình độ chuyên môn cao và sự phối hợp liên chuyên khoa chặt chẽ.
Sau phẫu thuật và thời gian hồi sức, chăm sóc, bệnh nhi hồi phục tốt và xuất viện sau 10 ngày điều trị.


